
만성 중심장액맥락망막병증 환자에게 비손상 역치하레이저 치료(Nondamaging subthreshold laser therapy)를 실시한 결과 망막하액 감소 등 치료 효과와 안전성이 높다는 연구결과가 발표됐다.
가톨릭대학교 부천성모병원 안센터 이승훈 임상강사는 최근 SCI급 국제적인 안과 저널 'Graefe's Archive for Clinical and Experimental Ophthalmology'에 만성 중심장액맥락망막병증 환자에 비손상 역치하레이저 치료의 효과와 안전성을 확인한 연구 결과를 발표했다.

망막질환은 대부분 60대 이상 장년층에게 많이 발생하는 것으로 알려져 있는데 반해 중심장액맥락망막병증은 50대 이하의 다소 젊은 나이에서 발병률이 높다는 특징이 있다. 정확한 발병 원인은 밝혀지지 않았으나 과도한 스트레스, 과로, 과음, 흡연, 고혈압 등과 관련이 있는 것으로 보고되고 있다.
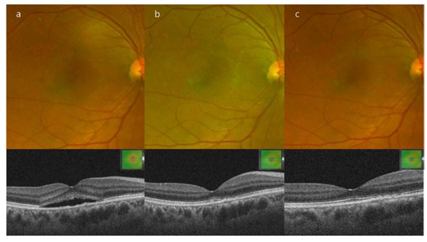
이승훈 임상강사는 만성 중심장액맥락망막병증 환자 31명의 31개 눈을 대상으로 엔드포인트 매니지먼트 소프트웨어(Endpoint Management software, EpM)를 이용한 비손상 역치하레이저를 실시, 6개월간 3번에 걸쳐 경과를 관찰하였고 레이저 치료와 연관된 부작용 없이 황반부 망막하액 감소 효과를 확인했다.
EpM 소프트웨어는 희미하게 보이는 응고반(barely visible burn)을 100% pulse energy로 설정하고 치료 시에는 30%로 감소된 pulse energy를 이용하는 알고리즘 방식이며, 이승훈 임상강사는 이번 연구를 위해 레이저 조사 당일, 3개월째, 6개월째 등 3번에 걸쳐 중심황반두께, 망막하액높이, 황반하 맥락막두께, 최대교정시력을 측정하였고, 레이저 3개월째 망막하액이 남아있는 경우 재치료를 시행하였다.
그 결과 레이저 치료 후 6개월째 중심망막하액의 완전소실율은 48.39%(15/31 eyes), 부분소실율은 12.90%(4/31 eyes)로 확인됐다. 평균 최대교정시력(logMAR)은 0.31 ± 0.29 에서 0.31 ± 0.40로 유의한 변화가 없었으나(p = 0.943), 평균 중심황반두께(µm)는 350.74 ± 112.76에서 239.71 ± 130.25으로 유의하게 감소하였고(p < 0.001), 평균 망막하액의 높이(µm) 또한 193.16 ± 90.69에서 70.58 ± 100.00로 감소하였다(p < 0.001).
이승훈 임상강사는 “만성 중심장액맥락망막병증 환자에 비손상 역치하레이저 치료를 실시한 결과, 6개월 경과관찰 동안 레이저 치료와 연관된 부작용은 관찰되지 않았고, 황반부 망막하액 감소에 효과가 있는 것을 확인할 수 있음에 따라 향후 만성 중심장액맥락망막병증 환자 치료시 비손상 역치하레이저 치료를 가장 우선적으로 고려할 수 있을 것”이라고 설명했다.
<저작권자 ⓒ 헬스위크, 무단 전재 및 재배포 금지>
김태형 기자 다른기사보기





