
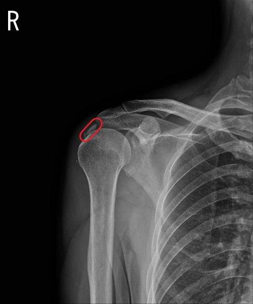
석회성건염은 힘줄에 칼슘 퇴적물이 쌓이며 극심한 통증을 유발하는 질환이다. 어느 관절 부위에나 생길 수 있는데, 보통 어깨관절에 많이 생긴다. 발병원인은 아직 밝혀지지 않고 있다. 어깨에 생기는 석회성건염은 회전근개 힘줄 속에 석회가 침착되며 염증반응을 일으켜 참을 수 없는 극심한 통증을 유발한다.
석회성건염 환자는 꾸준히 늘고 있다. 건강보험심사평가원 빅데이터 개방시스템을 보면 석회성건염(코드 M753) 환자 수는 2017년 13만 2272명에서 2021년 17만 815명으로, 최근 5년간 29% 증가했다.
지금까지 치료법은 석회에 따른 만성 염증으로 인한 힘줄 손상과 유착 등의 정도에 따라서 보존적 치료 혹은 관절내시경 수술을 해왔다.
기존의 보존적 치료 중에 폭넓게 사용되는 체외충격파 치료는 치료 기간이 길어 환자들에게 심리적 및 경제적인 부담이 컸다. 하지만 최근엔 초음파를 이용해 석회쇄석 시술이 도입되면서 이런 부담들이 해소됐다.
석회쇄석 시술은 초음파로 석회의 위치를 확인하면서 미세한 주삿바늘로 석회를 잘게 부숴 체내에 흡수되도록 하는 방법이다. 별도의 입원 치료 없이 외래 진료실에서 국소 마취 하에 이뤄진다. 힘줄 내에서 통증을 유발하던 석회는 기본적으로 칼슘성분이기 때문에 힘줄 밖으로 흘러나온 석회 조각들은 자연스럽게 우리 몸으로 흡수된다.
관절내시경을 이용한 수술적 치료 시 힘줄 내에 있는 석회를 제거하는 과정에서 힘줄의 손상을 초래할 수 있다. 이로 인해 회전근개를 봉합하는 수술을 추가로 받을 수도 있다. 따라서 석회 제거를 위해 관절내시경 수술을 받기에 앞서 정확한 진단이 필요하며 환자들에게 주의가 요구된다.
지난해 석회성건염으로 치료받은 환자 중 36%가 입원 치료를 받았다. 또 최근 5년간 석회성건염 치료로 인한 건강보험청구액은 65%, 본인부담금은 64%나 증가할 정도로 석회성건염으로 인한 국가적 의료비용이 증가하고 있다.
한림대학교 동탄성심병원 정형외과 정증열 교수는 “석회성건염은 환자들이 응급실을 찾을 정도로 통증의 정도가 심하며 증상이 없다가 갑자기 발생한다”며 “석회성건염이 생기면 무조건 수술적 치료를 받아야 한다고 잘못 알고 있는 경우가 많지만, 석회의 크기와 상태에 따른 비수술적 요법인 초음파하 석회쇄석술로도 치료가 가능하므로 정확한 진단이 중요하다”고 설명했다.
<저작권자 ⓒ 헬스위크, 무단 전재 및 재배포 금지>
김태형 기자 다른기사보기





